Павел Мельниченко
Хирург-стоматолог, стоматолог-имплантолог, ЧЛХ, г. Москва
Розовая эстетика в хирургической стоматологии - это концепция, которая охватывает не только функциональные аспекты стоматологической помощи, но и акцентирует внимание на внешнем виде и эстетическом восприятии зубочелюстной системы пациента. В последнее время интерес к этой теме значительно возрос благодаря усовершенствованию технологий, материалов и методов, которые позволяют достигать не только физиологически правильных, но и эстетически привлекательных результатов.
Что такое «розовая эстетика» и почему она важна?
Розовая эстетика включает в себя гармоничное сочетание белых (зубы) и розовых (десны) тонов, создавая таким образом визуально привлекательную улыбку. В хирургической стоматологии это особенно актуально, ведь успешные вмешательства не только восстанавливают здоровье пациентов, но и возвращают им уверенность в своей внешности. Основной задачей розовой эстетики является создание гармоничного образа, когда зубы и десны выглядят так, как будто они естественным образом сочетаются друг с другом. Это требует от стоматологов не только традиционных хирургических навыков, но и глубокого понимания эстетики, цвета, формы и пропорций, которые влияют на общее восприятие улыбки.
Ключевым аспектом при восстановлении десен является выбор материалов, которые не только обеспечивают долговечность, но и имеют хорошую эстетику. Например, используются биосовместимые имплантаты, которые могут интегрироваться с окружающими тканями, создавая естественный вид. Кроме того, для восстановления десен часто применяются методы регенерации мягких тканей, такие как трансплантация слизистой оболочки, что позволяет добиться нужного цвета и текстуры.
Методы создания красивой улыбки
Одним из методов, которые активно применяются для достижения розовой эстетики, является пародонтальная хирургия. Эта хирургическая техника направлена на восстановление десен, улучшение их внешнего вида и устранение патологий. Существует также концепция "графтирования", или пересадки ткани, когда из области с достаточным количеством здоровой ткани берется кусочек, который затем используется для восстановления проблемных зон.
Еще одним значимым направлением является стоматологическая имплантация. Важнейшим аспектом считается не только установка имплантата, но и создание надлежащего мягкотканевого контурирования вокруг него. Это достигается с помощью специальных методик, которые формируют десневую линию так, чтобы она выглядела ровной и естественной, минимизируя визуальный контраст между зубами и деснами.
Хирургическая стоматология все больше обращает внимание на индивидуальные характеристики пациента. У каждого человека есть свои уникальные черты лица и строения зубочелюстной системы, которые необходимо учитывать при планировании лечения. Эстетика улыбки формируется с учетом лицевых соотношений, и данный подход позволяет добиться наилучшего результата, который будет гармонировать с общим обликом пациента.
Суммируя вышесказанное, розовая эстетика в хирургической стоматологии представляет собой междисциплинарный подход, который объединяет хирургические, эстетические и профилактические аспекты. Этот подход направлен на то, чтобы не только восстанавливать здоровье пациента, но и создавать гармоничную улыбку, которая будет радовать и вдохновлять. Важно помнить, что каждая процедура это уникальный художественный процесс, результатом которого становится не только восстановление функций зубочелюстной системы, но и преображение внешности пациента, повышающее его уверенность в себе и качество жизни.
Клинический случай: исправление эстетической неудачи с помощью десневого трансплантата
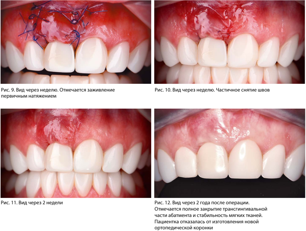
В данном клиническом случае будет показано применение десневых трансплантатов для решения эстетической неудачи имплантологического лечения. Обратилась пациентка, молодая девушка, 26 лет, которой было проведено удаление центрального зуба 11 с одномоментной установкой имплантата.




Заключение
В заключение хотелось бы отметить, что использование десневых трансплантатов является обязательным при проведении имплантологического лечения, особенно в эстетически значимой зоне. Это позволяет сохранить гармонию между розовой эстетикой и ортопедической коронкой.